Răng bị sâu nặng nếu không điều trị kịp thời sẽ gây ảnh hưởng đến những chiếc răng khác và lây lan đối với những chiếc răng xung quanh, gây nên những bệnh lý răng miệng nguy hiểm. Vậy khi bị sâu răng nặng bạn nên làm gì? Hãy cùng chúng tôi tìm hiểu qua bài viết dưới đây.
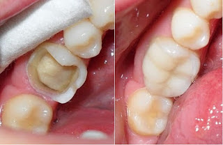
![]() |
| Răng sâu nặng gây vỡ răng |
Nguyên nhân dẫn đến răng sâu nặng
Răng sâu thường trải qua các giai đoạn từ khi mới chớm bị với những biểu hiện như các đốm trắng, đen li ti trên bề mặt răng và nặng hơn dần dần ăn vào tủy. Nguyên nhân chủ yếu do nhiều yếu tố tác động như:
Không điều trị sâu răng sớm hoặc điều trị nhưng không triệt để.
Vệ sinh răng miệng kém.
Ăn uống quá nhiều thức ăn đồ uống ngọt chứa nhiều đường và axit.
Sâu răng là bệnh lý do chính thói quen ăn uống và vệ sinh của bạn tạo nên. Bạn không đnahs răng trước khi đi ngủ, thức ăn sau khi ăn vẫn bám lại trên răng và tạo điều kiện cho vi khuẩn tấn công răng. Khi sâu răng vừa mới hình thành, bạn không quan tâm và xem nhẹ việc sâu răng, càng lâu sâu răng sẽ trở nên nặng hơn và gây sâu cho những răng bên cạnh. Đặc biệt, sâu răng không được điều trị sẽ gây chết tủy và mất răng.
Trường hợp răng bị sâu nặng phải làm sao?
![]() |
| Thăm khám tại các cơ sở nha khoa |
Nếu răng bị sâu nặng, phần thân răng bị vỡ mà không còn khả năng phục hồi thì việc nhổ bỏ răng sâu là điều cần thiết. Khi xuất hiện áp xe xương ổ răng thì khả năng viêm nhiễm và ảnh hưởng đến các răng kế bên rất lớn. Lúc này, chúng có thể gây ra những hậu quả rất nguy hiểm. Bạn cần phải đến ngay các cơ sở nha khoa uy tín để thăm khám và tiến hành điều trị.
Tin nha khoa: bọc răng sứ nguyên hàm giá bao nhiêu
Tin nha khoa: bọc răng sứ nguyên hàm giá bao nhiêu
Tùy vào mức độ của sâu răng mà bác sĩ sẽ đưa ra những phương pháp điều trị phù hợp. Đối với những trường hợp, sâu răng nặng nhưng răng vẫn chưa vỡ hoàn toàn và mới chỉ bị vỡ nhẹ thì bác sĩ sẽ tiến hành lấy ổ sâu và sau đó bọc răng sứ cho chiếc răng sâu đó.
Còn đối với trường hợp xấu hơn, răng bị vỡ quá nhiều, mức độ vỡ không thể hồi phục được nữa thì bạn sẽ được chỉ định nhổ rang. Sau ki nhổ răng, để đảm bảo răng có thể thực hiện chức năng ăn nhai bình thường thì bạn nên trồng răng
Như vậy, có thể thấy, sự chủ quan của bạn khi không điều trị sâu răng kịp thời sẽ khiến bạn phải tốn nhiều thời gian và tiền bạc hơn. Vì thế, khi phát hiện sâu răng, bạn cần phải điều trị ngay.
Cách phòng ngừa sâu răng
Để bệnh lý sâu răng không thể xảy ra, bạn hãy biết cách vệ sinh răng miệng đúng cách và ăn uống khoa học. Đánh răng hàng ngày sau mỗi bữa ăn là biện pháp giúp khắc phục và phòng chống sâu răng hiệu quả. Hoặc dùng chỉ nha khoa làm sạch răng sẽ hạn chế được tình trạng gây ra bệnh sâu răng. Chắc các bạn đã biết, sâu răng thường xuất hiện ở những vùng không được vệ sinh sạch sẽ như các kẽ răng và các cạnh trên bề mặt răng.
Hãy chăm sóc răng miệng bằng cách thăm khám định kỳ tại các cơ sở nha khoa.
Hy vọng với những thông tin mà chúng tôi vừa chia sẻ ở trên sẽ giúp bạn biết được răng bị sâu nặng phải làm gì. Nếu còn thắc mắc về vấn đề này hay những vấn đề khác, bạn có thể đến trực tiếp tại nha khoa Đăng Lưu để được giải đáp.
TG: VT


Không có nhận xét nào:
Đăng nhận xét